Antes & Después
Implantes Dentales CDMX

Los implantes dentales son una opción duradera en 3 días cdmx
Disfrutar de una mejor calidad de vida con implantes dentales en solo 3 días cdmx
los implantes dentales ofrecen una solución efectiva nosotros los colocamos cdmx Los implantes dentales se integran naturalmente con la estructura ósea de la mandíbula en solo 3 días
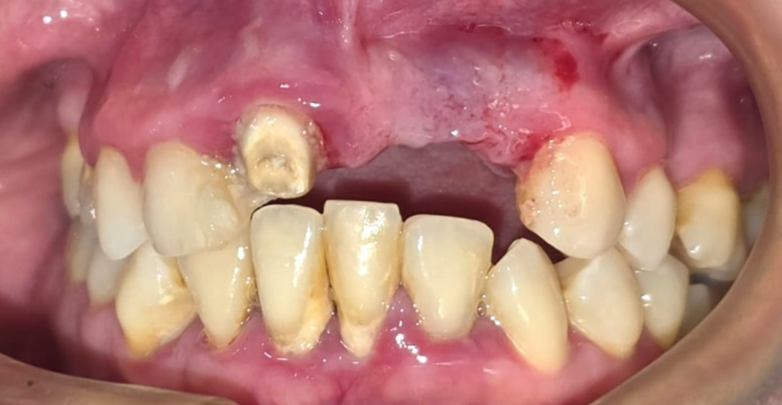
antes de colocarse implantes dentales Implantes dentales cdmx
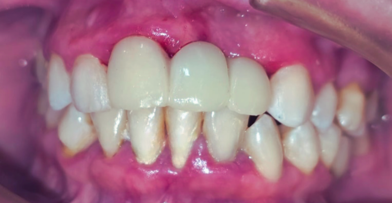
dentadura postiza fija antes dentadura postiza fija con implantes monofásicos el mismo día
es fundamental cuidar de tu salud bucal para mantener una calidad de vida óptima si perdiste una pieza dental la puedes recuperar en 3 dias Implantes dentales monofásicos cdmx
Formulario de suscripción
¡Solo enviamos sugerencias útiles, sobre salud dental, no spam!
Ubicación
CDMX, Tijuana, Toluca, Cuernavaca, SLP

Somos un equipo de profesionales expertos en la implantología de carga inmediata ubicados en el corazón de la Ciudad de México, comprometidos a proporcionar sonrisas a nuestros pacientes en 3 días. 

© 2024 Reservados todos los derechos, MI DENTISTA ONLINE

Scroll to top