Tecnología Avanzada para Recuperar Tu Sonrisa en una Solo Sesión
En Mi Dentista Online, especialistas en implantología monofásica en México, transformamos casos complejos en sonrisas funcionales y estéticas. Te mostramos el proceso completo de un implante inmediato postextracción en un paciente con destrucción coronal avanzada.
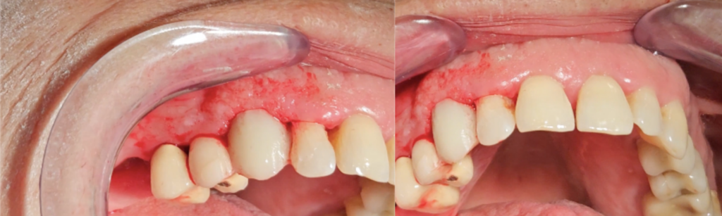
Caso Clínico: Destrucción Coronal
Diagnóstico Inicial
- Problema: Gran destrucción coronal
- Solución Indicada: Exodoncia + implante monofásico inmediato
- Objetivo: Preservar estética y funcionalidad en zona visible

Procedimiento Paso a Paso
1. Extracción Mínimamente Invasiva
- Técnica especializada para evitar daño a cortical vestibular
- Preservación integral del alveolo
- Cuidado de tejidos blandos y márgenes gingivales
2. Preparación del Alveolo
- Curetaje exhaustivo para eliminar restos contaminantes
- Estimulación de sangrado óseo para favorecer osteointegración
- Desinfección alveolar profesional
3. Planificación Digital Previa
- Estudio clínico y tomografía tridimensional
- Determinación precisa de ángulos y técnica de fresado
- Guía quirúrgica digital para máxima precisión
4. Técnica de Fresado Especializado
- Una sola fresa piloto como guía de inserción
- Expansor óseo para compactación y preservación de hueso
- Optimización del torque para carga inmediata
5. Colocación del Implante Monofásico
- Implante cónico de última generación
- Posicionamiento milimétrico con rotaciones controladas
- Verificación de posición protésica ideal
6. Control de Calidad y Prótesis Inmediata
- Verificación tomográfica de posición implantaria
- Adaptación personalizada de pilar protésico
- Fabricación inmediata de corona provisional
Caso Adicional: Solución para Implante Bifásico Fracasado
Problema del Paciente
- Implante convencional fracasado en zona anterosuperior
- Pérdida ósea completa alrededor del implante
- Periimplantitis avanzada con destrucción ósea
- Múltiples opiniones negativas sobre nueva colocación

Nuestra Solución Innovadora
- Explantación del implante afectado
- Desinfección profunda del área
- Aplicación de flujo digital en implantología monofásica
- Escaneado intraoral y prótesis definitiva el mismo día
Ventajas de la Implantología Monofásica
✅ Carga inmediata el mismo día, en casos más complejos de 24-72 horas
✅ Evita regeneraciones óseas complejas
✅ Resultados estéticos inmediatos
✅ Técnica mínimamente invasiva
✅ Alta tasa de éxito en casos complejos

¿Por Qué Elegir Mi Dentista Online?
- Especialistas en implantología monofásica
- Tecnología 3D y planificación digital
- 15 años de experiencia en casos complejos
- Resultados comprobados en CDMX y toda México
📞 ¿Tienes un Caso Similar o Necesitas una Segunda Opinión?
¡Agenda Tu Evaluación Sin Costo!
🔹 Análisis de tomografía gratuito
🔹 Plan de tratamiento personalizado
📱 Contáctanos Hoy Mismo
WhatsApp: +52 56 4550 0205
Sitio Web: www.midentistaonline.com
💡 ¿Sabías Qué?
Más del 98% de nuestros pacientes con casos complejos han recuperado su sonrisa con la técnica monofásica. ¡Tú puedes ser el siguiente!

Leave a reply